近日,德州市第二人民医院超声医学科运用肝脏超声造影技术及时为患者李先生(化名)明确了诊断,为接下来的肝细胞癌的治疗争取了时间。目前,该技术填补了德州市超声检查技术领域的一项空白,也使德州市第二人民医院成为了省内第三个正式开展此项目的医院。

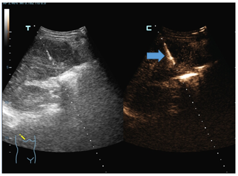
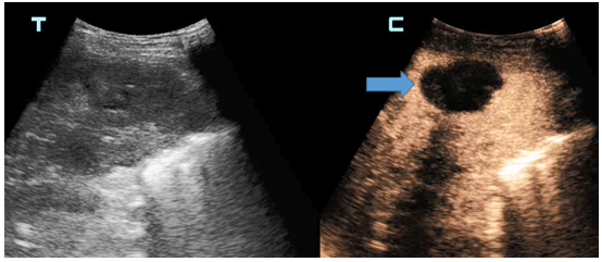
李先生今年45岁,因腹部胀满、疼痛长达一个月,来到德州市第二人民医院就诊。经核磁检查发现,肝右叶有结节,门诊建议进一步检查或穿刺活检明确诊断。随后,李先生做了常规超声检查,但未显示出肝内结节,医生建议行超声造影引导下穿刺活检。在征得李先生同意后,超声医学科主任石洪柱为李先生做了肝脏超声造影,检查历时10分钟,过程中无不适反应。通过超声造影检查发现了肝脏结节,符合恶性肿瘤表现,在超声造影引导下行结节穿刺活检术,最终为李先生明确诊断为肝细胞癌。




石洪柱介绍,超声造影可在常规超声检查的基础上,通过静脉注射超声造影剂,来增强人体的血流散射信号,实时动态地观察组织的微血管灌注信息,以提高病变的检出率,并对病变的良恶性进行鉴别,是一项新型无创的医学影像学技术,被誉为超声发展史上的“第三次革命”。
德州市第二人民医院超声医学科采用的是目前国际上最先进的肝脏超声造影剂——注射用全氟丁烷微球,进行肝脏超声造影检查和引导下穿刺。注射用全氟丁烷微球是针对肝内巨噬细胞特点及肝肿瘤的血液供应特点研制的造影剂,在肝脏肿瘤诊断与鉴别诊断方面有独特的效果,被业界称为“独特肝脏超声造影”。

“相较于CT、核磁的增强扫描,超声造影能定量评估器官、组织及病灶局部血流灌注情况,造影剂通过肺循环呼出体外,不进入组织间隙,更适合心、肝、肾功能不全者以及不能耐受其他造影检查的患者,无创伤、无辐射、使用方便、实时显像、时间短、可重复。”石洪柱介绍,超声造影优势多、用途广,可用于器官或组织肿块的定位、定性,血管内病变及斑块活性的诊断,输卵管、输尿管、胆道等管腔通畅性的判断,介入超声穿刺的引导,肿瘤消融、化疗、放疗治疗效果的评估,外伤或出血性病变的出血情况的评估,心腔、心肌、血管、血流动力学病变的诊断等。
在常规超声造影临床应用的基础上,德州市第二人民医院在全市率先将“独特肝脏超声造影技术”应用于临床,不仅标志着该院超声造影再上新台阶,也标志着介入超声技术达到了国内先进水平。目前,德州市第二人民医院利用此种先进造影剂已熟练开展肝脏超声造影,将进一步推动此项技术的临床应用,在肿瘤诊断、介入引导、肿瘤治疗效果评价等方面,为更多患者提供更加精准的诊断与治疗依据。
来源:德州市第二人民医院