最近,“白肺”这一词语屡屡登上热搜,热度不减。很多新冠患者担心自己也得了“白肺”,甚至谈“白”色变。小编身边“阳过”的亲友,也有过类似的担忧,有点胸闷、咳嗽症状就开始各种怀疑自己是不是也“白肺”了。今天,德州市第二人民医院医学影像科副主任邵元伟从医学影像的角度为大家带来关于“白肺”的相关知识。

什么是白肺?
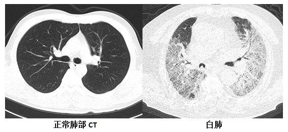
邵元伟介绍,健康的肺是由通气功能正常的肺泡组成,这样的肺泡充满了空气,在 X线和 CT 上都是透光的,显示为“黑色”。当肺部出现病变,如感染、水肿等,引起肺泡被渗出液及炎性细胞等充填,X线穿透肺泡的能力降低,在影像学上的表现就是出现白色区域。但并不是只要肺部出现了白色区域就都叫白肺。一般来讲,肺部炎症较重、渗出液较多,白色的影像区域达到双肺面积的70%—80%时,在临床上才会把它称为“白肺”,这是肺部影像学表现的一个口语化描述,目前主要涉及高龄的合并严重基础疾病的肺部感染患者,但占比非常低。

哪些情况会引起“白肺”?
引起白肺的原因很多,只要正常的肺泡被破坏,肺泡里面的气体被渗出液或者炎性细胞浸润、或者肺泡塌陷,都会出现白肺的情况。有两种情况是比较常见的:严重的肺水肿以及严重的肺部炎症。比如重症肺炎,像最近新冠感染后的重症肺炎患者,也可能合并了细菌感染,肺泡被炎症渗出物充满,导致换气障碍,引起严重缺氧,进而危及生命。



什么时候需进行CT检查?
1.无运动情况下,呼吸急促,呼吸频率每分钟超过30次;
2.发热、咳嗽、咳痰持续不缓解,同时伴有胸痛或者憋气,呼吸困难;
3.服用消炎药物以及止咳、化痰药物3到5天,咳嗽、痰浓稠没有减轻反而加重,或中低热症状没有缓解甚至加重;
4.如果有指脉氧仪,静息状态下血氧饱和度低于93%;
5.年龄大于65岁,体质较弱或伴有慢性病、基础疾病的老年人转阴后,虽然咳嗽,甚至没有明显胸闷、憋气,但出现低烧不退或者明显的没精神、食欲差等。 邵元伟提醒大家,如果出现以上情况,一定要及时到医院进行检查,在提高警惕的同时,也希望大家不要过度焦虑。
相关链接

邵元伟
医学影像科、核医学科副主任
影像医学与核医学专业硕士。山东省抗癌协会肿瘤影像专业委员会委员,山东省医学会核医学专业委员会委员,德州市医学会放射专业委员会委员,德州市医学会核医学专业委员会委员。在省级以上杂志发表论文10余篇。(张月华)